Ból w podbrzuszu, który przypomina skurcze menstruacyjne, ale pojawia się poza okresem, potrafi być naprawdę niepokojący. Wiele kobiet doświadcza tego typu dolegliwości i naturalne jest, że szukają odpowiedzi, co może być ich przyczyną. Ten artykuł ma za zadanie rozwiać Twoje wątpliwości, przedstawiając zarówno te mniej groźne, fizjologiczne powody, jak i te, które wymagają uwagi lekarza.
Ból brzucha jak przy okresie bez miesiączki co może oznaczać?
- Ból podbrzusza przypominający miesiączkę, gdy jej nie ma, może mieć wiele przyczyn od fizjologicznych, jak owulacja czy wczesna ciąża, po poważniejsze schorzenia.
- Wczesna ciąża (bóle implantacyjne) to jedna z możliwości, często towarzyszą jej inne subtelne objawy.
- Fizjologiczne przyczyny obejmują ból owulacyjny lub wpływ stresu na cykl hormonalny.
- Poważne przyczyny ginekologiczne to m.in. endometrioza, torbiele jajników, zapalenie przydatków czy mięśniaki macicy.
- Ból może również pochodzić z innych układów, np. z zespołu jelita drażliwego lub infekcji układu moczowego.
- W przypadku silnego bólu, gorączki, wymiotów lub nietypowego krwawienia, pilna konsultacja z lekarzem jest niezbędna.

Krótkie omówienie najczęstszych scenariuszy: od owulacji po wczesną ciążę
Kiedy pojawia się ból w podbrzuszu, a miesiączki brak, wiele z nas od razu zadaje sobie pytanie: "Co się dzieje?". To zupełnie naturalne, ponieważ takie dolegliwości mogą budzić niepokój. Ważne jest, aby pamiętać, że nasze ciało wysyła nam sygnały, które warto zrozumieć. Ból ten może być zarówno czymś zupełnie niegroźnym i fizjologicznym, jak i wskazówką, że coś wymaga naszej uwagi.
W mojej praktyce często spotykam się z pacjentkami, które doświadczają tego typu bólu. Najczęściej okazuje się, że przyczyną jest owulacja naturalny etap cyklu menstruacyjnego, lub wczesna ciąża. Jednak nie można ignorować innych możliwości, takich jak stany zapalne czy inne schorzenia ginekologiczne, a nawet problemy z układem pokarmowym czy moczowym. Dlatego tak ważne jest, aby poznać pełen wachlarz potencjalnych przyczyn.
Ból w podbrzuszu bez miesiączki może być zarówno sygnałem fizjologicznym, na przykład związanym z

Czy to może być ciąża? Rozpoznaj wczesne sygnały i ból implantacyjny
Jedną z pierwszych myśli, która przychodzi do głowy, gdy pojawia się ból podbrzusza przypominający miesiączkę, a jej nie ma, jest oczywiście możliwość ciąży. Wiele kobiet doświadcza tak zwanego
Jakie inne objawy mogą towarzyszyć bólowi brzucha na początku ciąży?
-
Zmęczenie i senność : Nawet proste czynności mogą wydawać się wyczerpujące. -
Tkliwość i wrażliwość piersi : Piersi mogą być obrzmiałe, bolesne i bardziej wrażliwe na dotyk. -
Nudności i wymioty : Często nazywane "porannymi mdłościami", choć mogą występować o każdej porze dnia. -
Częstsze oddawanie moczu : Zwiększona potrzeba wizyt w toalecie jest typowa dla wczesnej ciąży. -
Zmiany nastroju : Huśtawki hormonalne mogą prowadzić do drażliwości, płaczliwości lub euforii. -
Wzmożony apetyt lub awersje pokarmowe : Nagła ochota na konkretne produkty lub niechęć do wcześniej lubianych.
Kiedy test ciążowy da wiarygodny wynik?
Choć pokusa wykonania testu ciążowego od razu jest duża, warto poczekać.
Naturalne przyczyny bólu w cyklu miesiączkowym kiedy nie masz powodów do obaw?
Nie każdy ból w podbrzuszu bez miesiączki musi od razu oznaczać ciążę czy poważną chorobę. Często jest to po prostu naturalny element cyklu menstruacyjnego. Mówię tu o
Stres i emocje: jak wpływają na hormony i mogą wywoływać skurcze?
W dzisiejszym zabieganym świecie stres jest niestety nieodłącznym elementem życia wielu z nas. Warto wiedzieć, że

Gdy ból podbrzusza sygnalizuje problem ginekologiczny tych chorób nie wolno ignorować
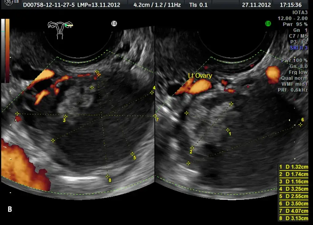
Niestety, ból w podbrzuszu poza miesiączką może być także sygnałem poważniejszych problemów ginekologicznych, które wymagają diagnostyki i leczenia. Jedną z takich chorób jest
Torbiele na jajnikach: czy zawsze są groźne i jakie dają objawy?
Torbiele jajników to dość częsta dolegliwość, która może być przyczyną bólu w podbrzuszu. Większość z nich toZapalenie przydatków (PID): jak rozpoznać ostrą infekcję wymagającą leczenia?
Zapalenie przydatków (PID Pelvic Inflammatory Disease) to
Mięśniaki macicy: czy te łagodne guzy mogą być przyczyną Twoich dolegliwości?
Mięśniaki macicy to
Inne możliwe źródła bólu w podbrzuszu to nie zawsze ginekologia
Zespół jelita drażliwego (IBS): jak odróżnić problemy trawienne od ginekologicznych?
Czasami ból w podbrzuszu, który przypomina skurcze menstruacyjne, wcale nie ma podłoża ginekologicznego. Może być związany z
Zapalenie pęcherza moczowego: czy bólowi towarzyszy pieczenie i częste wizyty w toalecie?
Kolejną pozaginekologiczną przyczyną bólu w podbrzuszu może być
Jak skutecznie złagodzić ból brzucha jak przy okresie? Sprawdzone sposoby
Kiedy doskwiera Ci ból w podbrzuszu, naturalne jest, że szukasz sposobów na szybką ulgę. Na szczęście istnieje wiele sprawdzonych metod, zarówno domowych, jak i farmakologicznych, które mogą pomóc złagodzić dolegliwości. Zawsze jednak pamiętaj, że
Domowa apteczka: termofor, zioła i odpoczynek, które przyniosą ulgę
-
Ciepłe okłady : Przyłożenie termoforu, ciepłej butelki z wodą lub specjalnej poduszki elektrycznej na podbrzusze to klasyczny sposób na rozluźnienie mięśni i zmniejszenie skurczów. Ciepło działa rozkurczowo i przynosi szybką ulgę. -
Ciepła kąpiel lub prysznic : Podobnie jak okłady, ciepła woda działa relaksująco na całe ciało i pomaga rozluźnić napięte mięśnie brzucha. -
Ziołowe napary : Niektóre zioła mają naturalne właściwości rozkurczowe i przeciwzapalne. Warto sięgnąć po napary zrumianku, liści malin, imbiru czy krwawnika pospolitego . Pamiętaj, aby pić je regularnie, ale z umiarem. -
Łagodna aktywność fizyczna : Choć może się wydawać, że ruch to ostatnia rzecz, na którą masz ochotę, delikatne ćwiczenia, takie jakjoga, spacery czy pilates , mogą poprawić krążenie i pomóc zredukować ból. Unikaj jednak intensywnych treningów. -
Odpoczynek i techniki relaksacyjne : Stres nasila ból, dlatego kluczowe jest zapewnienie sobie odpowiedniej ilości snu i wdrożenie technik relaksacyjnych, takich jakmedytacja, głębokie oddychanie czy słuchanie spokojnej muzyki .
Przeczytaj również: Ból brzucha u dziecka: Co podać i kiedy pilnie do lekarza?
Leki bez recepty: co wybrać, by bezpiecznie uśmierzyć ból? (NLPZ i leki rozkurczowe)
Gdy domowe sposoby nie wystarczają, możesz sięgnąć poCzerwone flagi te objawy to sygnał, że musisz natychmiast skontaktować się z lekarzem
Choć wiele przyczyn bólu podbrzusza bez miesiączki jest niegroźnych, istnieją pewne objawy, które powinny wzbudzić Twój natychmiastowy niepokój i skłonić do pilnej konsultacji lekarskiej. Nie lekceważ tych sygnałów mogą świadczyć o poważnym stanie wymagającym szybkiej interwencji medycznej.
-
Nagły, bardzo silny, ostry ból , który pojawił się niespodziewanie i jest trudny do zniesienia. -
Gorączka i dreszcze , które mogą wskazywać na infekcję lub stan zapalny. -
Nudności i wymioty , szczególnie jeśli są uporczywe i towarzyszą silnemu bólowi. -
Obfite, nietypowe krwawienie z dróg rodnych lub plamienie , które różni się od Twojej zwykłej miesiączki. -
Zawroty głowy, uczucie osłabienia lub omdlenia , co może świadczyć o utracie krwi lub innym poważnym problemie. -
Ból nasilający się gwałtownie lub nieustępujący po przyjęciu dostępnych bez recepty leków przeciwbólowych. -
Ból zlokalizowany ostro po jednej stronie podbrzusza , który może sugerować ciążę pozamaciczną, pęknięcie torbieli jajnika lub skręt przydatków.
